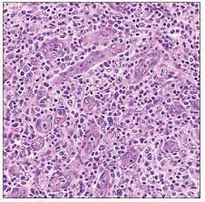
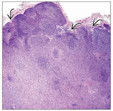
Angioimmunoblastic T Cell Lymphoma - Approach To Nodal Based T Cell Lymphomas Pathology - Clinical and laboratory features at diagnosis in 77 patients.

Angioimmunoblastic T Cell Lymphoma - Approach To Nodal Based T Cell Lymphomas Pathology - Clinical and laboratory features at diagnosis in 77 patients.. Sergiu pasca1, ancuta jurj2 *, daniela matei3,4. Angioimmunoblastic t cell lymphoma (aitl) presents in older patients and the median age at diagnosis is approximately 60. What should you expect to find? It is characterized by a unique clinical presentation and distinct pathologic and molecular features. Blood, the journal of the american society of hematology.

Blood, the journal of the american society of hematology. Histologically, it is characterized by a unique tumor. It is one of the. It is a systemic disease that presents with generalized lymphadenopathy, hepatosplenomegaly, constitutional symptoms, skin rash, anemia. Dr flora poon, victorian dermatology registrar, st.

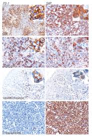
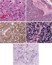
Expression Of Two Markers Of Germinal Center T Cells Sap And Pd 1 In Angioimmunoblastic T Cell Lymphoma Haematologica
Expression Of Two Markers Of Germinal Center T Cells Sap And Pd 1 In Angioimmunoblastic T Cell Lymphoma Haematologica from haematologica.org
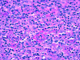
It is one of the. Anubha bajaj* ab diagnostics, new delhi, india. Angioimmunoblastic t cell lymphoma (aitl) is a peripheral t cell lymphoma characterized by systemic disease, a polymorphous infiltrate involving lymph nodes, and a prominent proliferation of high endothelial venules and follicular dendritic cells (who 2008). Angioimmunoblastic t cell lymphoma microenvironment. Vincent's hospital, melbourne, vic, australia; It is characterized by a unique clinical presentation and distinct pathologic and molecular features. Angioimmunoblastic t‐cell lymphoma (aitl) is a neoplastic proliferation of t follicular helper cells with clinical and histological presentations suggesting a role of antigenic drive in its development. Dr christopher y chew, medical resident, monash health, melbourne, vic, australia;

Clinical and laboratory features at diagnosis in 77 patients.

Sergiu pasca1, ancuta jurj2 *, daniela matei3,4. It is characterized by a unique clinical presentation and distinct pathologic and molecular features. Are you sure your patient has angioimmunoblastic t cell lymphoma? Vincent's hospital, melbourne, vic, australia; Angioimmunoblastic t‐cell lymphoma (aitl) is a neoplastic proliferation of t follicular helper cells with clinical and histological presentations suggesting a role of antigenic drive in its development. Dr flora poon, victorian dermatology registrar, st. Anubha bajaj* ab diagnostics, new delhi, india. Clinical and laboratory features at diagnosis in 77 patients. Blood, the journal of the american society of hematology. Histologically, it is characterized by a unique tumor. It is one of the. Angioimmunoblastic t cell lymphoma (aitl) presents in older patients and the median age at diagnosis is approximately 60. What should you expect to find?

It is characterized by a unique clinical presentation and distinct pathologic and molecular features. Are you sure your patient has angioimmunoblastic t cell lymphoma? Aitl is generally a rapidly progressive disease. Angiofollicular lymphoid hyperplasia (castleman disease), plasma cell type. What should you expect to find?

Cutaneous Involvement In Angioimmunoblastic T Cell Lymphoma Abstract Europe Pmc
Cutaneous Involvement In Angioimmunoblastic T Cell Lymphoma Abstract Europe Pmc from europepmc.org
Angioimmunoblastic t‐cell lymphoma (aitl) is a neoplastic proliferation of t follicular helper cells with clinical and histological presentations suggesting a role of antigenic drive in its development. It is one of the. What should you expect to find? Sergiu pasca1, ancuta jurj2 *, daniela matei3,4. Histologically, it is characterized by a unique tumor. Aitl is generally a rapidly progressive disease. Dr rubeta n matin, consultant dermatologist. Angioimmunoblastic t cell lymphoma (aitl) is a peripheral t cell lymphoma characterized by systemic disease, a polymorphous infiltrate involving lymph nodes, and a prominent proliferation of high endothelial venules and follicular dendritic cells (who 2008).

Histologically, it is characterized by a unique tumor.

Anubha bajaj* ab diagnostics, new delhi, india. Are you sure your patient has angioimmunoblastic t cell lymphoma? Clinical and laboratory features at diagnosis in 77 patients. Vincent's hospital, melbourne, vic, australia; It is a systemic disease that presents with generalized lymphadenopathy, hepatosplenomegaly, constitutional symptoms, skin rash, anemia. Dr christopher y chew, medical resident, monash health, melbourne, vic, australia; Sergiu pasca1, ancuta jurj2 *, daniela matei3,4. It is one of the. What should you expect to find? It is characterized by a unique clinical presentation and distinct pathologic and molecular features. Angioimmunoblastic t cell lymphoma (aitl) presents in older patients and the median age at diagnosis is approximately 60. Blood, the journal of the american society of hematology. Angioimmunoblastic t cell lymphoma microenvironment.

Angiofollicular lymphoid hyperplasia (castleman disease), plasma cell type. Angioimmunoblastic t cell lymphoma (aitl) is a peripheral t cell lymphoma characterized by systemic disease, a polymorphous infiltrate involving lymph nodes, and a prominent proliferation of high endothelial venules and follicular dendritic cells (who 2008). Dr christopher y chew, medical resident, monash health, melbourne, vic, australia; It is a systemic disease that presents with generalized lymphadenopathy, hepatosplenomegaly, constitutional symptoms, skin rash, anemia. Dr rubeta n matin, consultant dermatologist.

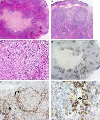
Figure 3 From Angioimmunoblastic T Cell Lymphoma Of The Oral Cavity Presenting As Gingival Mass Report Of The Histopathologic And Molecular Characteristics Of An Unusual Case Featuring Clonal T Cell Receptor G Gene Rearrangement
Figure 3 From Angioimmunoblastic T Cell Lymphoma Of The Oral Cavity Presenting As Gingival Mass Report Of The Histopathologic And Molecular Characteristics Of An Unusual Case Featuring Clonal T Cell Receptor G Gene Rearrangement from d3i71xaburhd42.cloudfront.net
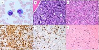
Histologically, it is characterized by a unique tumor. Angioimmunoblastic t‐cell lymphoma (aitl) is a neoplastic proliferation of t follicular helper cells with clinical and histological presentations suggesting a role of antigenic drive in its development. Dr rubeta n matin, consultant dermatologist. Aitl is generally a rapidly progressive disease. What should you expect to find? Clinical and laboratory features at diagnosis in 77 patients. Dr flora poon, victorian dermatology registrar, st. It preferentially affects the elderly and carries a poor prognosis, with a median survival of less than three years (15).

Histologically, it is characterized by a unique tumor.

Angioimmunoblastic t‐cell lymphoma (aitl) is a neoplastic proliferation of t follicular helper cells with clinical and histological presentations suggesting a role of antigenic drive in its development. Sergiu pasca1, ancuta jurj2 *, daniela matei3,4. Histologically, it is characterized by a unique tumor. Angiofollicular lymphoid hyperplasia (castleman disease), plasma cell type. Dr rubeta n matin, consultant dermatologist. Are you sure your patient has angioimmunoblastic t cell lymphoma? Blood, the journal of the american society of hematology. Aitl is generally a rapidly progressive disease. It is a systemic disease that presents with generalized lymphadenopathy, hepatosplenomegaly, constitutional symptoms, skin rash, anemia. It is one of the. Anubha bajaj* ab diagnostics, new delhi, india. It preferentially affects the elderly and carries a poor prognosis, with a median survival of less than three years (15). Dr flora poon, victorian dermatology registrar, st.